インプラント治療




ただ埋めるだけじゃない、包括的に良質な口腔内を実現するためのインプラント治療。

最新歯科用CTや最新機器を導入し、包括的(総合的)に良質な口腔内を実現するインプラント治療を行います。
そして、大切なことは「メンテナンス」です。一緒に今後の人生をより良くできるパートナーでありたいと考えております。


当院が選ばれる理由
 
特殊な術式にも対応
 
当院の症例実績
 
治療費について
 
ご相談はこちらから






当院が選ばれる理由


インフォームドコンセントを重視しています

インプラント治療を行うにあたり、インフォームドコンセント(※)にもとづき、患者様との信頼関係が構築された上で治療を行っております。
インプラント治療は、咬んでお食事をおいしく食べるという大きな目的を持っておりますが、それは健康増進へのリハビリ治療であり、また、見た目も美しくなるということから心のケア治療でもあるのです。

※インフォームドコンセント
医師が患者様に診療の目的・内容を十分に説明して、患者様の納得を得て治療すること。

ぜひ一度、お悩みの方はカウンセリングをお受けにご来院下さい。基本的にカウンセリングは無料となりますが、内容(数回のご来院や診断器具の利用など)によっては金額が発生する場合もございます。

セカンドオピニオンも受付ております。カウンセリングのご希望日をご予約下さい。


快適で安全な治療環境

当院は、プライバシーを配慮して外側からは見えない完全個室の診療ルームをはじめ、最新歯科用CTレントゲンなど、充実した診療設備を整えております。

 
プライバシーに配慮した完全個室型の診療室   より安全・確実な診断が可能な最新CT


ICOI(国際インプラント学会)認定医が担当いたします

インプラント治療を担当する当院長の藤田勝也は、ICOI(国際インプラント学会)認定医、O.A.M先進インプラント認定医です。

 
ICOI認定証   国際インプラント学会参加時の院長

また、当院はインプラント治療だけの医院ではございません。総合的な「包括歯科診療(※)」を最も得意としている医院です。ただインプラントを埋めてセラミックスや銀歯を被せるだけではなく、口腔内全般の状態などを考慮して最高の治療提案を行います。インプラント治療を行っても数年でおかしくなった、インプラントの周りの歯茎が痛いといったことが無いように、口腔内全般の改善も行ってまいります。

JACD(包括歯科治療を目指すべく1988年に結成された研究会)にも所属し、日々研鑚を積んでおります。

※包括歯科診療
総合的な面から歯科治療を行うという考えのもと、予防から治療・美しい歯を保つ考え方までのすべてを含めた治療法。


自己血液によるCGF再生治療

CGF(Concentrated Growth Factors)とは、患者様から血液採取を行い、手術部の治癒回復を促進する再生医療です。手術後の痛みや腫れを抑え、治癒を早め、組織の再生を促すために使用します。添加物を一切使用せず、患者様ご自身の血液から作製しますので、感染症やアレルギー等の心配がありません。

自己血液によるCGFで骨や歯周組織を再生させることで、骨や歯茎の量が少ない方でもインプラント治療が可能です。

CGF治療のメリット
手術後の腫れや痛みを最小限に抑えられる
骨や歯茎の量が足りない方でもインプラントが可能になる
完全自己血液を使用するので感染リスクが少ない
止血作用がある

CGF治療についての詳細はこちらをご覧ください (PDFファイル)

患者様の健康状態や口腔内の状況、薬剤に対する禁忌症によっては、静脈内鎮静法を使用できない場合もございます。
詳しくはカウンセリングにてご相談ください。



インプラントに関するご相談はこちらから






特殊インプラント術式にも対応


インプラント治療に際して「手術が怖い」「骨や歯茎の量が足りないと言われた」「治療期間を短縮したい」「身体的・精神的の負担を最小にしたい」という方もぜひお気軽にご相談ください。当院では、特殊インプラント術式にも対応しており、数多くの実績がございます。
ひとりひとりの患者様の状況やご要望に合わせて最適なインプラント治療をご提供できるよう、常に新しい治療方法や技術の向上を習得する為の研鑽を日々積んでおります。


抜歯即時埋入インプラント

抜歯即時埋入インプラントとは、抜歯をしたその日にインプラントを埋入する治療方法で、患者様の体の負担を大幅に軽減できます。

抜歯即時埋入インプラントのメリット
顎の骨を削る量や時間が少なく、痛みや腫れが軽減できる
抜歯とインプラント埋入の本来2回の手術が1回の処置で済む
抜歯と同時にインプラントを埋入するので通常の半分の治療期間で済む
傷口の回復が早く、インプラント埋入部周囲の組織に影響を与えにくい


骨を削らないO.A.M(大口式)インプラント

あごの骨が痩せてしまってインプラントが行えない場合や、上のあごの難症例などあらゆる症例に対応可能です。ドリルを殆ど使わないので骨を損なわず、歯ぐきも最低限しか切らずに済むため、処置後の経過が良く、負担を最小限に出来ます。手術が怖い、不安という方におすすめの術式です。

当院長の藤田勝也はO.A.M先進インプラント認定医です。

O.A.M(大口式)インプラントのメリット
骨や歯茎をほとんど削らない、切らない
処置後の回復が早く、痛みや腫れも少ない
処置が1回で済むので、患者様の負担が少ない
骨が薄い方や上の顎の場合の難しい症例にも適応



インプラントに関するご相談はこちらから






当院のインプラント症例


治療方針である「包括歯科診療」をもとに、常に新しい治療方法や、技術の向上を習得する為の研鑽を日々積んでおります。当院のインプラント治療の症例の一部をご紹介します。


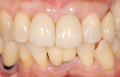
サイナスリフトによってかみ合わせが可能になるインプラント治療
エムドゲイン(歯周組織再生療法)と、CGF(あごの骨量を補う治療)を使用

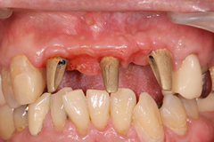
<治療前>
右上6と右下7が駄目になっています



<CT画像での経過>

右上6と右下7にインプラントが埋入され咬み合わせができる状態。


義歯を応用したインプラント治療


<治療期間>
約1年3カ月


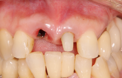
自己採血してCGF&AFGを再生に使用した症例

 
<治療前>
上顎前歯部が崩壊して残すことが出来ない状態になっている。

   
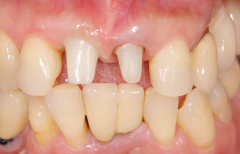
<治療後>
抜歯した部位にインプラントを埋入し半年かけて
歯肉と歯槽骨を再生させて審美的な歯(セラミック冠)を入れました。


抜歯即時インプラント症例

抜歯をして即にインプラント埋入を行う治療

   


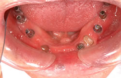
下顎の無歯顎に8本のインプラントを埋入して咬み合わせを作った症例

下顎全顎にインプラント埋入(8本)後、セラミックの歯を装着し、上顎は総義歯をいれた。
約7年経過後も問題はございません。

   


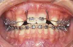
先欠(生まれつき歯がない)状態を矯正治療とインプラントで治療した症例

矯正で歯列を整え、先欠部にインプラントを埋入しセラミックの歯を入れて仕上げたケース。
約20年経過後も問題はございません。

   


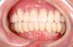
インプラント埋入後、セラミック冠をセットした症例

   



インプラントに関するご相談はこちらから






インプラント治療費について


インプラント埋入手術の料金 (人工歯根を埋め込むこと)
骨がある方 1本 16万5000円
骨がない方 1本 16万5000円+5万5000円※GBR手術=22万円

上部構造の料金 (埋め込んだインプラントの上に被せる歯)
白いセラミック冠 1本 16万5000円
ゴールド冠 1本 11万円
上部構造は種類により料金が異なります。医師とご相談の上、お決めください。

 

インプラント治療は埋入手術費+上部構造(被せ物)+オプション(精密検査、仮歯、他)の費用がかかります。詳細のお見積には検査が必要となりますのでお気軽にご相談ください。

(相談は無料、検査は別途料金がかかります)



クレジットカードでのお支払いも可能です。※5万円以上の場合に限ります



インプラントに関するご相談はこちらから






インプラント治療に関するご相談専用フォーム


フジタ歯科医院へのインプラント治療に関するお問い合わせ・ご相談専用フォームです。
インプラント治療に興味のある方、治療に関してご不安なことやご質問などあれば、どうぞお気軽にご利用下さい。セカンドオピニオンも受け付けております。

カウンセリング・診療のご予約は 0949-28-3636 まで直接お電話ください。


お名前 必須 名字のみでもOK

お電話 必須 お電話番号を入力してください

メール 必須 メールアドレスを入力してください

ご住所 必須 市町村までの表記でもOK

お問い合わせ内容 必須


いたずら・営業目的でのフォームご利用はご遠慮ください。
当院のプライバシーポリシーはこちら






〒822-0032 福岡県直方市下新入624-4
TEL 0949-28-3636
院長:藤田 勝也
一般小児歯科、矯正歯科、インプラント、審美歯科
★駐車場完備 ★バリアフリー対応 

 

 
9:00~13:00

14:30~19:00

[休診日] 日曜・祝祭日