| 最近「審美(しんび)」と言う言葉が流行しており、白い歯で見た目が良ければ良い、という印象を受けます。本当の審美とは美しく健全な歯と歯肉が良い噛み合わせを作り、いつまでも安定することと考えます。その為には、当院のモットーである包括歯科診療が必要となります。 |
 |
歯を美しく |
| |
歯の研磨、ホワイトニング、CR充填、補綴(セラミック etc.) |
 |
歯肉を美しく |
| |
プラークコントロール、メラニン色素除去、歯周外科 |
 |
歯と歯肉ともに美しく |
| |
矯正を行う事により、歯を良い位置に移動させることで歯垢・歯石がつきにくくなり、結果的に歯と歯肉は美しくなります。 |
|
 |
| 矯正以外で歯並びを治す方法があるのをご存知ですか? |
歯を削って人工物をかぶせて見栄えを良くする方法があります。
例/さし歯(セラミック・保険の歯)、ラミネートベニアなど |
口腔内の状況や歯並びの程度によっては、従来のワイヤーを使った歯列矯正よりも短期間・安価での治療が可能です。
ご興味のある方はお気軽にご相談ください。 |
|
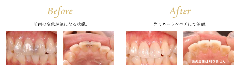
| 歯の裏側を削らずに表側だけを削ってシェル型のセラミックを強力に歯に貼り付け美しく強い歯に変える新しい方法です。従来のやり方より歯を削らないので歯の神経を取らずにすみ、より自然観も出せる生体にやさしいやり方です。すきっ歯など軽度の歯並びの改善にも有効です。 |
 |
前歯が欠けた、折れた |
 |
前歯の色が気になる (神経を取ったことや、薬や飲食による前歯の変色) |
 |
すきっ歯・歯並びを治したい |
 |
歯の形、表面のデコボコが気になる |
 |
保険で入れた差し歯・詰め物が変色してしまった |
 |
歯をあまり削りたくない |
|
| 治療方針である「包括歯科診療」をもとに、常に新しい治療方法や、技術の向上を習得する為の研鑽を日々積んでおります。当院の審美治療の症例の一部をご紹介します。 |
| 歯周病と審美の改善を矯正とオールセラミックで治療した症例 |
| 前歯をラミネートべニアに変えた後、保険治療で治した症例 |
|
|